What to do with poor quality embryos?

Even poor quality embryos have a chance. Don't let fear of low success rates prevent you from exploring all options.

What to do with poor quality embryos?
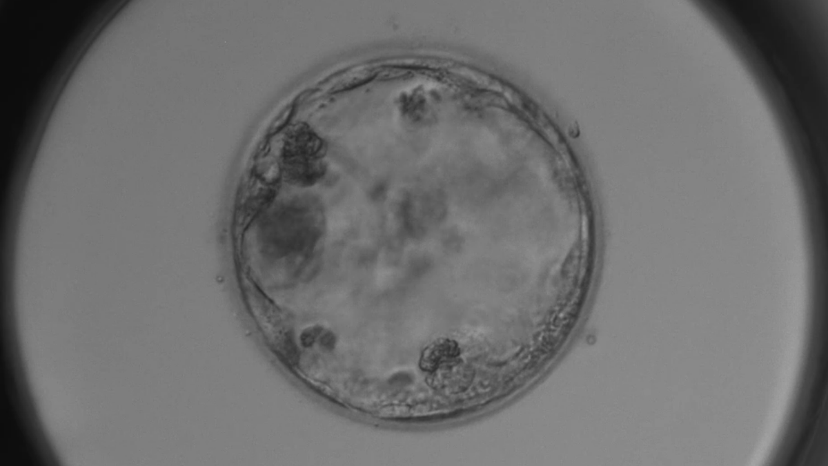
A 4CC graded embryo

Poor quality embryos are still potentially viable embryos even though they are poor. And they are your embryos. No one should make a decision about their fate but you.

Embryos have not read the textbook and they have no idea what they are meant to look like. In the majority of cases embryos are graded by a human who will be grading lots of different embryos a day. Grading is done visually and the process is vastly subjective. Grade is only part of the story. The day of development and the journey to blastocyst are equally as important, if not more.

Blastocyst is the stage of embryo development that occurs about five days after fertilisation, when the embryo is ready for implantation. Poor quality blastocyst stage embryos are normally given a CC grade, as per the Gardener Grading Score. And as long as they are growing and expanding and not degenerating, they should be considered.

Putting these embryos back may give you a low chance of success, between 5-20% – depending on circumstance – but, to be frank, not putting them back gives you zero chance of success!

Day seven embryos are also considered embryos with a poor prognosis in the same way CC graded embryos are.

A growing embryo with viable living cells, even if developing slowly or with a low visual score, may still result in a positive outcome.

Don't get me wrong, if you are fortunate enough to have many good quality embryos from a cycle of IVF you may choose not to biopsy/freeze the poorer quality ones. You will most likely never use them. We will always choose the better quality first.

Utilising all types of poor quality embryos is a cost to a clinic. This includes staffing time, equipment and space. Be aware that some clinics do not utilise poor embryos as a way to enhance success rates. You might be told that they are not capable of making a pregnancy. This is simply not true.

The age of the woman at the time the egg is retrieved is still the number one defining factor of embryo success – even when they are poor.

At The Evewell there have been fifteen babies born from utilising about hundred poorer quality embryos, in transfers. These poorer quality embryos are often routinely discarded elsewhere. These babies are healthy.

I'm sorry to be so honest and I'm sorry this is all so hard to navigate. ❤️

This post was inspired by my recent contribution to the wonderful Big Fat Negative Substack: Don't let your clinic dispose of low-grade embryos. Do have a look at what Gabby Griffith and Emma Haslett are up to.