π‘ Home
π About
π₯ Private Consultations
π§ Podcast
π· Instagram
π£οΈ Appearances
β Essential Questions
Sign in
Subscribe
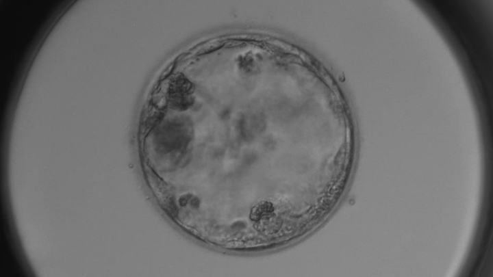
Poor quality embryos
Unspoken outcomes: When IVF doesnβt go to plan
What to do with poor quality embryos?