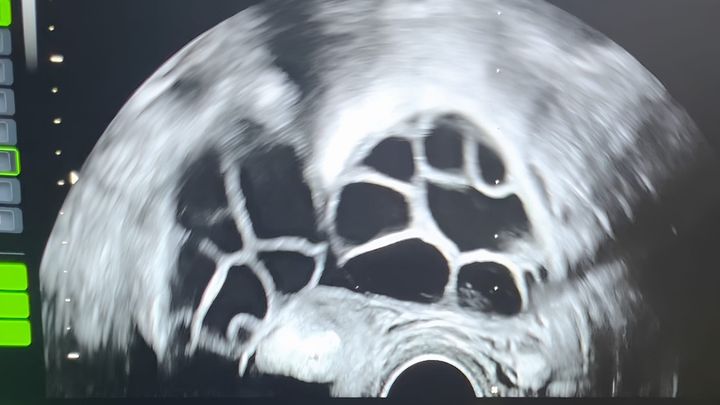
Join Emma the Embryologist and dive into the science of embryology in a way that's easy to understand